当前位置:主页 > 牛皮癣 > 牛皮癣治疗 >

夏季银屑病进行期治疗应注意什么

咨询专家预约挂号| 共人赞过

郑州市银屑病研究所医生介绍,银屑病根据病情的不同发展情况可分为,银屑病进行期,银屑病静止期和消退期,银屑病进行期的症状较轻,如果在这一阶段及时对疾病进行治疗可以起到很好的效果。那么进展期的银屑病应该如何治疗治疗注意事项有哪些?【银屑病进行期症状是什么?请点击此处咨询在线医生】

夏季银屑病进行期治疗应注意什么

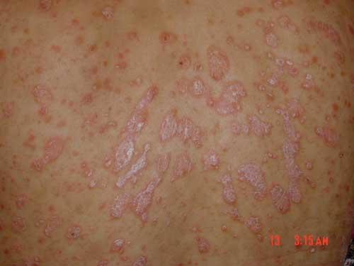
疑问:进行期的银屑病症状是怎样的呢?

银屑病进行期症状表现:主要表现为皮损继续扩大,在周围会出现炎性红晕,同时也会有新的皮损出现,鳞屑会覆盖于皮损的中心部位,如果正常皮肤发生损伤也会出现皮损症状。【您的症状是怎样的?是不是处在进行期呢?点击咨询在线医生】

银屑病进展期的时候银屑病白色鳞片会不断增多,原有白色鳞片逐渐向正常皮肤移行、扩大,境界模糊不清。造成银屑病白色鳞片扩散的原因有很多,可常见由于外用药物的强烈刺激而使白色鳞片扩大;不少银屑病患者还可因遭受机械性刺激如压力、摩擦使原先正常的皮肤发生白色鳞片或促使原来白色鳞片扩大而出现同形反应的现象。银屑病进展期除了以上变化之外,银屑病发展期患者还要注意其他因素像是皮肤刺激、烧伤、晒伤、冻伤等对患者所造成的影响,这都可能导致银屑病病情的加重,给治疗带来困难。

特别关注:银屑病患者要注重日常护理

进展期银屑病患者要尽量避免外界的刺激,如刮伤、割伤、撞伤和感染等不良的外界刺激,因为这些因素都可能会加剧银屑病病情银屑病会在皮肤的伤口处开始扩散,这就是我们常说的同形反应的发生。尤其是夏季,皮肤是最敏感的时期,因为炎热的夏天皮肤裸露在外,更容易受到伤害。所以夏季需保暖避寒,注意湿热,保证足够的睡眠时间。

【温馨提醒】郑州市银屑病研究所医生提醒:得了皮肤病一定要到正规的医院就诊,以上就是我院针对夏季牛皮癣治疗做出的相关介绍,希望对您有帮助。【如果您还有这方面的烦恼可以联系我院的医生,他们会为你做出详尽回答】

上一篇:患上银屑病,该如何是好

下一篇:夏季银屑病静止期治疗应注意哪些

多点了解,让健康多点保障
  • 春季成人诱发银屑病的最主要因素
  • 青少年银屑病怎么治疗?
  • 健康新闻:郑州市银屑病入选全国
  • 寻常型银屑病如何护理?
  • 世界银屑病关爱日 有爱就有希望
  • 1.您是否已到医院确诊?

    2.是否服用抗癣药物?

    3.患病时间有多久?

    4.是否有家族遗传史?

    姓名:

    性别:

    手机号码:

    温馨提示:您所填的信息我们将及时反馈给医生诊断,您的个人信息我们承诺绝对保密!

    郑州市银屑病研究所

    您好,请问有什么可以帮助到您...